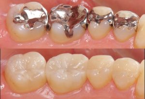
銀歯を白い歯に変えるデメリットとは?意外なリスクと後悔しないための選択肢
2026/01/03
神保町野本歯科医院の院長、野本です。
「銀歯が目立つのが嫌だ」
「笑った時に金属が見えるのをなんとかしたい」
というご相談を毎日多くいただきます。
見た目を白く美しく整えることは、自信を持って笑うために非常に大切なことです。
しかし、銀歯を外して白い歯(セラミック等)に入れ替える治療は、単純に「色を変える」だけの作業ではありません。
見た目が自然になることは大きなメリットですが、医療には必ずメリットとデメリットの両面が存在します。
銀歯を外して新しい素材を入れるという行為は、少なからず天然の歯に負担をかける側面もあるため、事前の正しい理解が欠かせません。
この記事では、銀歯を白い歯に変える際に考えられる具体的なリスクや注意点、そして銀歯が持つ特性について客観的に解説します。
その上で、なぜ現代の歯科医療においてセラミック等の素材が推奨される傾向にあるのか、その医学的な理由を詳しくお伝えします。
銀歯を白い歯にやり替える際に知っておくべき「3つのリスク」
見た目を改善するために避けて通れない、技術的なハードルやリスクについて解説します。
1. 歯をさらに削る必要がある(形状の再整備)
すでに銀歯が入っている歯を白い歯(特にセラミック)にする場合、銀歯を外すだけでなく、さらに歯を削って形を整え直す必要があります。
金属は非常に強度が強いため、0.5mm程度の薄さでも割れません。
しかし、セラミックは「陶器」の仲間であるため、薄すぎると噛む力で割れてしまいます。
素材自体の強度を確保するために、通常1.5mm〜2.0mm程度の厚みが必要となります。
歯は削れば削るほど構造的に脆くなります。
すでに銀歯の治療で一度削られている歯を、セラミックのためにさらに削ることは、歯の寿命という観点からは慎重な設計が求められます。
2. 術後の痛みや「しみ」が出る可能性
銀歯をやり替えた直後に、「前よりも冷たいものがしみるようになった」「噛むと痛い」という症状が出ることがあります。
銀歯の下で長年守られていた象牙質(歯の神経に近い層)が、やり替えの際の振動や切削によって刺激を受けます。
また、セラミックを装着する際の接着処理(エッチング等)が神経に一時的な刺激を与えることもあります。
特に、もともと銀歯が大きかったり、神経に近いところまで削ってあったりする場合、再治療の刺激が決定打となり、最悪の場合は神経を取る処置(抜髄)が必要になるケースもゼロではありません。
3. 費用負担と通院回数の増加
白い歯の多くは自費診療(自由診療)となります。
保険診療の銀歯と比較すると、初期費用は高額になります。
また、型取りの精度を極限まで高める必要があるため、通常の保険診療よりも通院回数や1回あたりの治療時間が長くなる傾向があります。
「銀歯」には意外なメリットも
銀歯(保険適用の金銀パラジウム合金)は、見た目こそ劣りますが、「壊れにくい」という一点においては非常に優秀な素材です。
金属は延性・展性があるため、強い力がかかっても「たわむ」ことで破折を防ぎます。
そのため、歯を削る量を最小限に抑えつつ、過酷な咀嚼環境に耐えることができます。
それでも「銀歯」を放置してはいけない理由
前述のような「削る量が増える」といったリスクがあるにもかかわらず、なぜ多くの歯科医師が銀歯のやり替えを推奨するのでしょうか。
それは、銀歯を持ち続けることの「見えないリスク」が大きいからです。
1. 二次カリエス(むし歯の再発)の温床
銀歯の最大の弱点は、「歯と接着していない」という点にあります。
歯を守るための最重要知識:「合着」と「接着」の違い
銀歯とセラミックでは、歯と一体化する仕組みが根本的に異なります。
この違いを理解することは、将来的な「再治療のリスク」を予測する上で非常に重要です。
1. 「合着(ごっちゃく)」:摩擦力で維持する仕組み
主に保険診療の銀歯で行われる方法です。
合着とは、歯と被せ物の間のわずかな隙間にセメントを流し込み、そのセメントが硬くなることで生じる「摩擦力」によって固定する方法です。
例えるなら、「レンガの間にモルタルを詰めて固定する」状態や、「きついキャップを力で押し込んでいる」状態に似ています。
セメント自体が歯や金属と化学的に結びついているわけではありません。
そのため、被せ物が外れないようにするためには、歯をある程度「深さのある形」に削り、摩擦力が働きやすいように設計する必要があります。
長期的なリスク
銀歯を長年使用していると、唾液の浸入や噛む力による微細な揺れによって、中のセメントが徐々に破壊され、溶け出してしまうことがあります。
セメントが溶けて隙間ができると、そこから細菌が入り込み、銀歯の中でむし歯が再発する「二次カリエス」の主な原因となります。
2. 「接着(せっちゃく)」:分子レベルで一体化する仕組み
主に自費診療のセラミック治療で行われる方法です。
接着とは、歯科用レジンセメント(高性能な接着剤)を用い、歯の表面とセラミックの表面を化学的に結合させる方法です。
例えるなら、「2つの部品を溶接して1つのブロックにする」ような状態です。
歯の表面に特殊な処理(エッチングやプライマー塗布)を施し、分子レベルで歯の組織と結合させます。
強力な結びつきがあるため、摩擦力に頼る必要がなく、「合着」に比べて歯を削る量を抑えても外れにくい設計が可能です。
長期的なメリット(封鎖性)
化学的に一体化しているため、境目(マージン)に隙間ができにくく、唾液でセメントが溶け出す心配もほとんどありません。
この高い「封鎖性(ふうさせい)」こそが、セラミック治療が銀歯に比べてむし歯の再発を抑えやすいと言われる最大の理由です。
金属アレルギーと歯ぐきの黒ずみ
銀歯は過酷な口内環境(熱い、冷たい、酸性など)で、少しずつ金属イオンが溶け出しています。
溶け出した金属が体内に蓄積されると、ある日突然金属アレルギーを引き起こす可能性があります。
また、溶け出した金属成分が歯ぐきに沈着し、歯ぐきがドス黒く変色してしまうことがあります(メタルタトゥー)。
これは一度なると自然に治ることはなく、審美性を著しく損ないます。
歯科医師が「セラミック」を強くお勧めする4つの決定的な理由
デメリットとされる「削る量」などの課題を解決し、歯を一生守り抜くために、セラミック治療には銀歯にはないメリットがあります。
「化学的接着」による細菌侵入の完全シャットアウト
セラミック治療の真髄は、素材そのものではなく「接着技術」にあります。
最新の接着技法(レジンセメント)を用いることで、セラミックは歯と分子レベルで強力に一体化します。
銀歯のようにセメントが溶け出す心配がなく、二次カリエスのリスクを極限まで低減できます。
汚れ(プラーク)を寄せ付けない清潔さ
セラミックは陶器であるため、表面が非常に滑らかで傷がつきにくいのが特徴です。
金属と違い静電気を帯びないため、プラーク(細菌の塊)が付着しにくい性質があります。
毎日の歯磨きで汚れが落ちやすく、清潔な口内環境を維持しやすいため、歯周病予防にも極めて有効です。
歯ぐきの健康と美しさを守る(生体親和性)
セラミックは生体親和性が高く、金属アレルギーの心配が一切ありません。
金属の刺激がないため、歯ぐきが炎症を起こしにくく、加齢による歯肉退縮(歯ぐきが下がる現象)を遅らせることができます。
ピンク色の若々しい歯ぐきを保つために最適な素材です。
デジタル技術による「最小限の切削」の実現
かつては「セラミックは厚みが必要だから大きく削る」のが常識でしたが、現在は違います。
ダイヤモンドに近い強度を持つ「ジルコニア」というセラミック素材を使用すれば、従来のセラミックよりも薄い設計が可能です。
これにより、銀歯と遜色ない「最小限の切削量」で白い歯を実現できるようになっています。
結論:納得のいく選択のために
銀歯を白い歯に変えることは、単なる見た目の改善以上に、「むし歯の再発を防ぎやすい環境を作る」という予防医学的な側面を持っています。
一方で、歯を削り直すことによる物理的な負担もゼロではありません。
当院では、現在の銀歯の状態、噛み合わせの強さ、そして将来的な健康リスクを総合的に診断し、患者さまにとって最適なタイミングと方法をご提案いたします。
「見た目を良くしたいけれど、歯を削りすぎるのは不安」
という方も、まずは現在のお口の状態を確認することから始めましょう。
メリットとデメリットを十分に比較検討できるよう、丁寧にご説明させていただきます。
神保町野本歯科医院:https://nomodent5454.com/
〒101-0051 東京都千代田区神田神保町2-19-1 リーガルタワー神保町1F
電話:03-5276-5454
電車でお越しの方:
都営地下鉄 神保町駅 徒歩1分

