はじめまして。神保町野本歯科医院の野本幸平です。
当院はシンプルなお約束ごとをつくっています。
第1に「丁寧に、優しく接します」
第2に「痛みを少なくします」
第3に「未来を見据えた治療を行います」
私のポリシーは「自分が行きたい医院をつくること」です。
ありがたいことに、当院の患者様の80%弱がリピーターの方です。
そして、新規の方の半数以上が既存の患者様のご紹介の方です。
日々反省と改善の連続ですが、これからも少しでも地域の人々に役立てる歯科医院になれるよう、一同邁進していきます。
ご来院をお待ちしております。











歯の検診
予防歯科
虫歯治療
歯周病治療
根管治療
審美治療
ホワイトニング
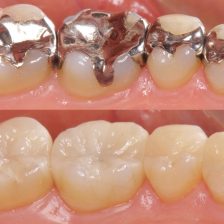
メタルフリー治療
入れ歯治療
インプラント
歯ぎしり、食いしばり





