黒い歯石は要注意?白い歯石との違い、放置するリスクと専門的な対処法

      2025/12/20

神保町野本歯科医院で黒い歯石は要注意?白い歯石との違い、放置するリスクと専門的な対処法について解説

こんにちは。神保町駅徒歩1分の歯医者、神保町野本歯科医院です。

鏡でご自身の歯を見たとき、「歯と歯ぐきの境目あたりが黒ずんでいる」「歯の根元に黒い線のようなものがある」と感じたことはありませんか?
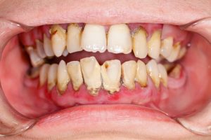
この黒い部分は、多くの場合、虫歯ではないかと心配されますが、実は進行した歯周病のサインである「黒い歯石」であることも少なくありません。

黒い歯石は、単なる汚れではなく、歯ぐきの奥深くにも潜んでおり、歯周病がかなり進行しているサインである可能性が高く、要注意です。
この記事では、鏡で見える「黒い歯石」と、歯ぐきの下に隠れた「危険な黒い歯石」の違いを明確に解説します。
なぜ色が違うのか、それぞれの歯石がもたらすリスク、そしてご自宅でのケアや歯科医院で受けるべき専門的な対処法まで、詳しく解説します。

 

歯石とは何か?白い歯石と黒い歯石の基本的な違い

まず、歯石とは、歯磨きで取り切れなかったプラーク(歯垢)が唾液中のミネラル(主にカルシウム)によって石灰化したものです。
プラークが硬く固まった状態であり、歯ブラシでは取り除くことができません。
この歯石は、付着している場所によって性質と色が変わり、それぞれ異なるリスクを持っています。

 

白い歯石:歯肉縁上歯石(しにくえんじょうしせき)

神保町野本歯科医院で黒い歯石は要注意?白い歯石との違い、放置するリスクと専門的な対処法について解説

色と見た目
白っぽい、または黄色っぽい色をしており、歯の表面にチョークのような塊として付着しています。

付着場所
歯ぐきよりも上の部分(歯肉縁上)、鏡で見える範囲に付着します。
唾液腺の開口部付近(下の前歯の裏側や上の奥歯の外側)に多く見られます。

特徴
比較的軟らかく、付着して間もないものが多いため、歯科医院での除去は比較的容易です。

リスク
主に歯肉炎(歯ぐきの炎症)の原因となります。

 

黒い歯石:歯肉縁下歯石(しにくえんかしせき)

神保町野本歯科医院で黒い歯石は要注意?白い歯石との違い、放置するリスクと専門的な対処法について解説

色と見た目
黒っぽい色、または暗褐色をしており、歯の根っこの表面にこびりついています。

付着場所
歯ぐきの奥深く(歯肉縁下)、歯周ポケットの内部に付着しているため、鏡では見えないことも多々あります。

なぜ黒いのか?
歯肉縁下歯石は、歯周ポケット内部の出血が原因で黒くなります。
歯周病が進行すると、歯ぐきが炎症を起こして出血し、この血液に含まれる成分(ヘモグロビンなど)が歯石に取り込まれて沈着することで、黒く硬い歯石へと変化します。

特徴
非常に硬く、歯の根の表面に強固に付着しており、除去には専門的な技術と器具が必要です。

リスク
重度の歯周病(歯周炎)を引き起こす最大の原因です。
歯を支える骨(歯槽骨)を溶かし、最終的には歯が抜け落ちる原因となります。

 

黒い歯石がもたらす深刻なリスクとメカニズム

黒い歯石は、その存在自体が「歯周病の進行」を意味します。
放置すると、深刻な状態へと進行するメカニズムを理解しましょう。

 

骨を溶かす「歯周病細菌の温床」

神保町野本歯科医院で黒い歯石は要注意?白い歯石との違い、放置するリスクと専門的な対処法について解説

黒い歯石の表面はザラザラしており、歯周ポケット内の酸素が少ない環境を好む「悪玉の歯周病細菌」にとって格好の棲み処(すみか)となります。
黒い歯石の中で増殖した細菌は、強力な毒素や酵素を放出します。
これらの毒素が歯ぐきの奥まで侵入し、歯を支えている歯槽骨を溶かしていきます。
歯槽骨が溶けると歯周ポケットがさらに深くなり、より多くの黒い歯石が付着するという負の連鎖が起こります。

 

歯周ポケットの深化とドライソケットリスク

神保町野本歯科医院で黒い歯石は要注意?白い歯石との違い、放置するリスクと専門的な対処法について解説

黒い歯石が深部に付着することで、歯周ポケットはますます深くなります。
歯周ポケットが深くなると、歯磨きはもちろん、歯科医院でも器具が届きにくくなり、歯周病治療の難易度が上がります。
また、将来的に抜歯が必要になった際、深い炎症が原因で傷の治りが遅くなったり、ドライソケット(激しい痛みを伴う骨の露出)のリスクが高まったりします。

 

全身疾患への影響

神保町野本歯科医院で黒い歯石は要注意?白い歯石との違い、放置するリスクと専門的な対処法について解説

歯周病は、お口の中だけの病気ではありません。
黒い歯石によって維持される慢性的な炎症は、全身の健康に悪影響を及ぼします。
歯周ポケットから侵入した細菌や炎症性物質が血液に乗って全身を巡り、糖尿病の悪化、心臓病、脳梗塞、認知症など、さまざまな全身疾患のリスクを高めることが分かっています。
黒い歯石を放置することは、ご自身の健康寿命を縮めることにつながりかねません。

 

黒い歯石への対処法:ご自宅では不可能、専門的な治療が必須

黒い歯石は、その硬さと付着部位の深さから、市販の器具や通常の歯磨きでは絶対に除去できません。
歯の根の表面を傷つけずに完全に除去するには、歯科医院での専門的な治療が不可欠です。

 

歯科医院での専門的処置

神保町野本歯科医院で黒い歯石は要注意?白い歯石との違い、放置するリスクと専門的な対処法について解説

黒い歯石(歯肉縁下歯石)を除去するための治療は、主に以下の手順で行われます。

スケーリング
歯ぐきの上や、比較的浅い部分に付着した歯石を、超音波スケーラーやハンドスケーラーと呼ばれる器具を用いて除去します。
主に白い歯石の除去が主目的ですが、治療の第一歩となります。

ルートプレーニング
歯周ポケットの奥深くに付着した黒い歯石(歯肉縁下歯石)を除去し、歯の根の表面をツルツルに研磨する(ルートプレーニング)処置です。
この処置により、細菌の再付着を防ぎ、歯ぐきが根にしっかりと再付着するのを促します。

歯周外科手術
歯周ポケットが深く、器具が届かない、または歯槽骨の破壊が著しい場合に行います。
歯ぐきを切開してめくり、直接目視で根の奥深くにある黒い歯石や病巣を完全に除去し、骨の形を修正(骨整形)することもあります。

 

黒い歯石除去の注意点と期間

痛みの管理
黒い歯石の除去は、歯ぐきの奥深くに器具を入れるため、通常は麻酔を使用して行います。
痛みを感じる心配はありません。

回数と期間
歯周病の進行度や歯石の付着量にもよりますが、黒い歯石の除去は通常、お口を数ブロックに分けて行います。
完了までに数回〜数ヶ月かかることが一般的です。
これは、一度にすべて除去すると、お口全体が腫れたり、強い痛みが出たりするのを防ぐためです。

 

治療後の再発予防とホームケアの徹底

黒い歯石を除去しても、日々のケアがおろそかになると再発します。
治療後の状態を維持し、健康な歯ぐきを保つための対策を徹底しましょう。

 

プロフェッショナルケア(定期検診)

神保町野本歯科医院で黒い歯石は要注意?白い歯石との違い、放置するリスクと専門的な対処法について解説

黒い歯石の再発を防ぐには、定期的なプロフェッショナルケアが欠かせません。

定期検診の間隔
歯周病の治療後は、通常、3ヶ月〜4ヶ月に一度の定期検診が推奨されます。
この間隔で、歯石やプラークの再付着をチェックし、専門的なクリーニングを受けます。

PMTC(プロによる機械的歯面清掃)
毎日のブラッシングでは届かない微細な汚れやバイオフィルム(細菌の膜)を、歯科衛生士が専用の器具を使って徹底的に除去します。

 

ホームケアの徹底(黒い歯石を作らせない)

神保町野本歯科医院で黒い歯石は要注意?白い歯石との違い、放置するリスクと専門的な対処法について解説

白い歯石の段階で除去し、黒い歯石へと進行させないことが目標です。

歯ブラシ
歯と歯ぐきの境目(歯周ポケットの入口)に毛先をしっかり当てて磨く「バス法」などのブラッシング技術を習得しましょう。

補助器具の活用
歯ブラシだけでは約60%の汚れしか落とせません。
歯間や歯周ポケットの入口のプラークを除去するために、デンタルフロスや歯間ブラシを毎日必ず使用してください。

炎症予防
歯科医師から指導された薬用歯磨き粉や洗口液を使い、お口の中の細菌数をコントロールすることも有効です。

 

まとめ:黒い歯石は「治療の合図」と捉えましょう

黒い歯石は、「あなたの歯周病がかなり進行していますよ」という体からの強い警告サインです。
鏡で見えない場所にあるからといって放置することは、歯を失うリスクに直結します。
もし、歯ぐきから頻繁に出血する、歯がグラグラする、歯ぐきが下がって歯が長く見えるようになった、といった症状があれば、歯周ポケットの奥に黒い歯石が付着している可能性が高いです。
手遅れになる前に、ぜひ一度、神保町野本歯科医院にご相談ください。
患者さま一人ひとりに合わせた最適な治療計画と、再発を防ぐための丁寧な予防サポートを提供いたします。

 



神保町野本歯科医院:https://nomodent5454.com/

〒101-0051 東京都千代田区神田神保町2-19-1 リーガルタワー神保町1F
電話:03-5276-5454

電車でお越しの方:
都営地下鉄 神保町駅 徒歩1分

PAGE TOP