ダイレクトボンディングとコンポジットレジン、何が違うの?適応症例は?
2026/03/04

「虫歯を治療したあと、白い詰め物をすることになったけれど、保険のレジンと自費のダイレクトボンディングは何が違うの?」
歯科医院のカウンセリングで、非常に多くいただく質問です。
「ダイレクトボンディング」という言葉は、実は比較的新しいカテゴリーの治療名です。
対して「コンポジットレジン(CR)」は、材料そのものの名前を指します。
多くの歯科医院では、「保険診療で行う白い詰め物=コンポジットレジン充填」、「自由診療(自費)で行う高精度な白い詰め物=ダイレクトボンディング」と呼び分けています。
結論から申し上げれば、この両者には、「使っている材料の成分」にも違いはありますが、それ以上に「治療のコンセプト、工程、そして仕上がりの精度」に決定的な差があります。
保険のコンポジットレジン(CR)とダイレクトボンディングの違い
詰め物そのものの「素材(マテリアル)」の差
どちらも「レジン」というプラスチック素材を基本にしていますが、その中身(配合)が違います。

保険のコンポジットレジン(CR)
色のバリエーションが限られる
一般的に、日本人の平均的な歯の色に合わせた数種類のみです。
そのため、「なんとなく白いけれど、自分の歯の色とは少し違う」という仕上がりになりがちです。
長期の使用で変色しやすい
プラスチック成分が多く、長年使っていると表面に細かい傷がつきやすく、カレーやコーヒーなどの色が染み込みやすい(変色しやすい)傾向があります。

ダイレクトボンディング
色の再現性が高い
10〜20種類以上の色を組み合わせて作ります。
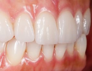
歯には「透明な部分」「黄色みが強い部分」「白濁した部分」など複雑なグラデーションがありますが、それらを何層も重ねることで、鏡で見てもどこを詰めたかわからないレベルまで再現できます。
変色しにくい
プラスチックの中に「セラミック粒子(フィラー)」が非常に高密度で詰め込まれています。
そのため、変色しにくく、天然の歯に近い硬さと輝きを長く保つことができます。
「接着(くっつける技術)」の差
レジン治療において最も大切なのは、「いかに歯と詰め物を一体化させるか」です。
保険のコンポジットレジン(CR)
保険診療は、限られた時間内(15分〜20分程度)で多くの工程をこなす必要があります。
そのため、接着剤の塗布から光で固めるまでの工程をスピーディーに行います。
ダイレクトボンディング
当院では、接着の工程に最も時間をかけます。
歯の表面を専用の薬剤でミクロ単位で整え、接着剤(ボンディング材)が歯の組織の奥深くまで浸透するのをじっくり待ちます。
強力な吸引(バキューム)と特殊な補助用具を駆使し、湿気(吐く息や唾液)を徹底的に排除した状態で接着を行います。 この「湿気の管理」の徹底が、数年後の「外れにくさ」「二次虫歯(詰め物の下で進む虫歯)のなりにくさ」に直結します。
「積層充填(せきそうじゅうてん)」という手法
レジンには「光を当てて固まる瞬間に、わずかに縮む」という性質があります。
これが原因で歯との間に隙間ができたり、歯を引っ張って痛みが出たりすることがあります。
保険のコンポジットレジン(CR)
大きな穴でも一度にドバッとレジンを詰めて固めることが多いため、収縮のストレスが大きくなりがちです。
ダイレクトボンディング
「1ミリずつ、少しずつ盛っては固める」という作業を何度も繰り返します(積層充填)。
手間はかかりますが、これにより収縮による隙間の発生を極限まで抑え、歯に優しい治療が実現します。
マイクロスコープ(歯科用顕微鏡)による「最終チェック」

当院では、仕上げの段階で「マイクロスコープ」を使用し、肉眼では見えない世界を確認します。
保険診療:肉眼の限界
肉眼で見るとピッタリ詰まっているように見えても、実は100ミクロン(0.1ミリ)程度のわずかな段差や、レジンの取り残しがあることがよくあります。
この段差に汚れが溜まると、そこからまた虫歯になります。
自費治療:マイクロスコープによる精密仕上げ
治療の最後に、視野を20倍程度まで拡大してチェックします。
歯とレジンの境目に「段差」が1ミリもないか。
歯ぐきを刺激するような余分なレジンが残っていないか。
噛み合わせの溝が、天然の歯と同じように機能的な形をしているか。
これらを高倍率で確認しながら、専用の器具で丁寧に磨き上げます。
この「最後の数ミリのこだわり」が、お口の中の清潔さを保ち、再治療を防ぐ砦となります。
比較まとめ
| 比較項目 | 保険のコンポジットレジン | ダイレクトボンディング(自費) |
|---|---|---|
|
見た目 |
そこそこ白い。境目が分かりやすい。 |
天然歯とほぼ見分けがつかない。 |
|
耐久性 |
数年で変色や摩耗、劣化が起こりやすい。 |
長期間、変色や摩耗が起こりにくい。 |
|
虫歯再発リスク |
接着の隙間から再発しやすい。 |
精密な接着とチェックで再発を抑制。 |
|
治療時間 |
15〜30分程度(1回) |
60〜90分程度(1回) |
|
マイクロスコープ |
使用しないことが多い。 |
最終仕上げで精密にチェック。 |
ダイレクトボンディング適応診断:あなたの歯を「守りながら」綺麗に治せるか?
ダイレクトボンディングが適しているかどうかを判断する際、当院では以下のポイントをチェックしています。
「適応」の場合は、ご自身の歯を削る量を最小限に抑え、1回の来院で美しく精密な治療を行います。
「非適応」の場合は、なぜダイレクトボンディングでは難しいのか(強度の不足、接着の不確実性など)を医学的根拠に基づいてご説明します。
その上で、セラミックインレーやジルコニアクラウンなど、より長持ちする代替案をご提示します。
欠損(虫歯)の大きさ:歯の「壁」は残っているか?
ダイレクトボンディングは、歯の表面に直接レジンを盛り付けて形を作ります。
適応
小さな虫歯、中程度の虫歯、前歯の隙間(すきっ歯)の改善、欠けた歯の修復。
非適応
歯の半分以上が失われている、あるいは「壁」となる部分が全く残っていない場合。
非適応の理由
詰め物を支える土台が少なすぎると、噛む力に耐えきれず、詰め物が外れたり歯が割れたりするリスクが高まるためです。
この場合は、セラミックの被せ物(クラウン)の方が安全な場合があります。
虫歯の深さ:歯ぐきの下まで及んでいないか?
当院では、治療精度を保つために「接着面の環境」を重視します。
適応
虫歯が歯ぐきよりも上の位置にある場合。
非適応
虫歯が歯ぐきよりも深い位置(縁下)まで進行している場合。
非適応の理由
当院では強力なバキュームと補助器具で湿気を徹底管理しますが、歯ぐきの奥深くだと血液や浸出液を完全に遮断するのが難しくなります。
確実に接着できないと判断した場合は、他の治療法をご提案します。
噛み合わせの強さ:過度な負担がかからないか?
適応
通常の噛み合わせの方。
非適応
強烈な歯ぎしりや食いしばりがある方。
非適応の理由
ダイレクトボンディングはセラミックに比べるとわずかに弾性があるため、過度な力がかかると「たわみ」が生じ、接着面が剥がれやすくなることがあります。
隣の歯との関係:隙間に器具が入るか?
適応
通常の噛み合わせの方。
歯と歯の間に適度なスペースがあり、精密な形を整える器具(マトリックス)が正しく設置できる場合。
非適応
隣の歯と複雑に重なり合っている、あるいは矯正が必要なほど歯並びが乱れている場合。
結論:納得のいく選択のために

ダイレクトボンディングは素晴らしい治療ですが、最も大切なのは「その歯にとって最善の寿命を確保すること」です。あなたの歯が、削らずにダイレクトボンディングで治せる状態かどうか。
まずは一度、当院の適応診断を受けてみませんか?
神保町野本歯科医院:https://nomodent5454.com/
〒101-0051 東京都千代田区神田神保町2-19-1 リーガルタワー神保町1F
電話:03-5276-5454
電車でお越しの方:
都営地下鉄 神保町駅 徒歩1分

